- 1403/12/22 - 11:40
- زمان مطالعه : 2 دقیقه
- /ZrD
وبدا-زنجان
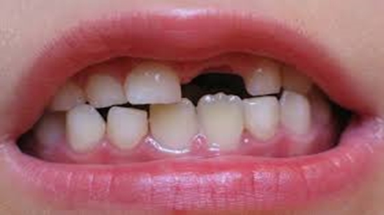
بهداشت دهان و دندان کودکان و نوجوانان / بخش سوم / رئیس گروه بهداشت دهان و دندان دانشگاه علوم پزشکی زنجان: تاخیر در رویش یا ریزش دندانها تا 2سال، طبیعی است
دکتر علیحسین کبودوند، رئیس گروه بهداشت دهان و دندان معاونت بهداشت دانشگاه علوم پزشکی زنجان، گفت: سن طبیعی برای آغاز رویش دندان کودکان، قبل از یک سالگی و برای ریزش دندانهای شیری حدود 7 سالگی است و تاخیر در رویش یا ریزش دندانها تا دو سال بعد از این سنین، طبیعی است.

دکتر کبودوند در گفتگو با پایگاه خبری وبدا-زنجان، اظهار کرد: در عین حال بهتر است در این شرایط، به یکی از مراکز بهداشتی درمانی شهری یا روستایی و یا یک متخصص دندانپزشکی مراجعه شود تا از طریق یک تصویربرداری سادهی دندانی، مرحلهی رشد دندان مشخص شود.
وی با تاکید بر اینکه پوسیدگی دندانهای شیری حتما باید درمان شود و انتظار برای افتادن آن دندان، اشتباه است، افزود: دندان شیری پوسیده، اگر درمان نشود دچار عفونت شده و بر روی دندان جایگزین دائمی نیز اثر میگذارد بنابراین پرکردن، عصبکشی و کشیدن دندانهای شیری حائز اهمیت است.
این دندانپزشک در پاسخ به سوالی در خصوص بهترین سن برای درمان ارتودنسی، گفت: بهتر است ارتودنسی بعد از 12 سالگی که رشد دندانهای دائمی کامل شده است، انجام شود ولی در سنین بالاتر نیز منعی برای درمان ارتودنسی وجود ندارد و تنها تفاوت در اینجاست که به دلیل حرکت بهتر دندانها در سنین پایینتر، ارتودنسی در این سنین، نتیجه بهتر و سریعتری دارد.
وی با بیان اینکه کودکان باید از خمیردندانهای مخصوص خود استفاده کنند، اظهار کرد: تا زمانی که اطمینان حاصل کنیم کودک، خمیردندان را در حین مسواک زدن، قورت نمیدهد لازم است از خمیردندان مخصوص کودکان استفاده شود و بعد از آن، مجاز به استفاده از خمیردندان بزرگسالان با مقدار کمتر میباشد.
دکتر کبودوند، مقدار مناسب خمیردندان برای بزرگسالان را به اندازه یک نخود عنوان کرد و افزود:کودکان باید از این مقدار هم کمتر استفاده کنند و توجه به این نکته ضروری است که استفاده از نمک و جوششیرین و موادی از این دست به جای خمیردندان به هیچ وجه توصیه نمیشود چراکه این مواد هم به مینای دندان آسیب میزند و هم باعث ایجاد خراش روی لثه میشود. بنابراین در صورت نبود خمیردندان، بهتر است از مسواک خالی استفاده شود.
وی خاطرنشان کرد: بهتر است نوع خمیردندان خود را به صورت دورهای عوض کنیم و فقط از یک برند خاص استفاده نکنیم. همچنین افرادی که مصرف چای و قهوه بالایی دارند، لازم است از خمیردندانهایی استفاده کنند که در فرمولاسیون آن ساختارهایی برای از بین بردن لکههای سخت وجود دارد.
رئیس گروه بهداشت دهان و دندان دانشگاه علوم پزشکی زنجان، بهترین نوع مسواک برای کودکان را مسواک نرم دانست و گفت: برای بزرگسالان، نوع متوسط مسواک توصیه میشود و استفاده از انواع سخت یا زبر مسواک به هیچ وجه توصیه نمیشود و لازم است مسواک، هر سه ماه و حداکثر هر شش ماه یکبار عوض شود و اگر قبل از این مدت، موهای مسواک باز شد باید تعویض شود.
وی ضمن تاکید بر استفاده از نخ دندان قبل از مسواک زدن، به توضیح در خصوص نحوه صحیح مسواک زدن دندانها پرداخت و اظهار کرد: در کودکان، مسواک زدن باید به صورت افقی باشد یعنی موهای مسواک عمود بر سطح دندان قرار گیرد و حرکت مسواک به طور افقی انجام شود ولی در بزرگسالان حرکت مسواک باید از بالا به پایین باشد بدین ترتیب که از انتهای فک بالا شروع شده و کلیه سطوح دندانها و سپس سطح جونده و بعد سطوح داخلی دندانها مسواک شود.

نظر دهید